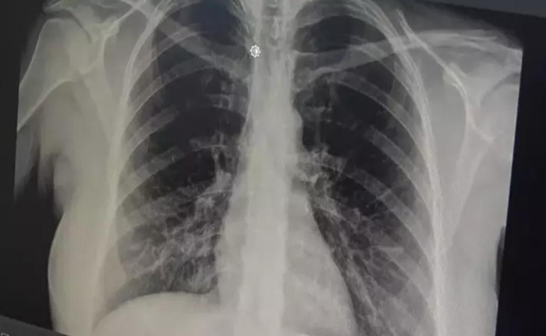
Göğüs Hastalıkları Uzmanı Prof. Dr. Tevfik Özlü, akut bronşitin giderek yayıldığına dikkat çekerek önerilerde bulundu. prof. Akut bronşitin ilk belirtilerinin boğaz ağrısı, hafif ateş ve burun akıntısı olduğunu ancak enfeksiyon bronşlara yayıldığında göğüs ağrısı ve şiddetli öksürüğün ortaya çıktığını söyleyen Dr. Özlü, akut bronşitin hafif ve tedavi edilebilir bir hastalık olduğunu belirterek, hastaların doktora başvurması konusunda uyardı.
“ENFEKSİYON ÜST SOLUNUM YOLLARIYLA SINIRLI DEĞİLDİR”
prof. Akut bronşitin solunum yolu virüslerinin neden olduğu bir hastalık olduğunu belirten Dr. Özlü, şöyle konuştu: “Günümüzde çok sık gördüğümüz bir hastalık. Genelde hastalar şöyle tarif ediyor: 'Öncelikle boğazım ağrıyordu, boğazım ağrıyordu. hafif ateş, burun akıntısı, hapşırma, geniz akıntısı ve öksürük: “2-3 gündür göğsümdeydi. Nefes alırken acı hissediyorum. İçeride bir çalı varmış gibi görünüyor. Nefes aldığımda göğsüm oraya sıkışıyor” çünkü aslında gerçek bu. “Bronşit, solunum yolu virüslerinin neden olduğu bulaşıcı bir hastalıktır. Bu enfeksiyon üst solunum yollarıyla sınırlı olmayıp alt solunum yolları ve bronşları da etkiliyor” dedi.
“EN BELİRTİLEN BELİRTİ ÖKSÜRÜK”

Akut bronşitin en önemli belirtisinin öksürük olduğunu vurgulayan Prof. Dr. Tevfik Özlü, “Kuru öksürük veya balgamlı öksürük şeklinde kendini gösterebiliyor. Bazen belirti daha çok hırıltılı solunum ve nefes darlığı şeklinde hissedilebiliyor. Yüksek ateş genellikle herhangi bir rahatsızlığa neden olmaz ancak bazen bakteriyel enfeksiyonlar da ortaya çıkabilir” dedi.
'CİDDİ BELİRTİLER OLABİLİR'

Bronşitin genel olarak hafif seyreden bir hastalık olduğunu ancak belirtilerin artması durumunda doktora başvurulması gerektiğini belirten Özlü, şöyle konuştu: “Altta yatan kronik bir hastalık, astım veya KOAH obstrüktif bronşit gibi bir akciğer hastalığı varsa, kronik hastalığın akut alevlenmesidir. buna hastalık eşlik edebilir ve genel akut bronşit, nefes darlığı, hırıltılı solunum, halsizlik, yorgunluk, yüksek ateş gibi ciddi semptomlarla ortaya çıkabilir veya Altta yatan kronik bir hastalık varsa ve semptomlarda alevlenme varsa doktora görünün, “Genelde hafif, tedavi edilebilir bir hastalık olduğunu söyleyebilirim” dedi.
DHA
Bu içerik Nilgün Akbıyık tarafından yayınlanmıştır.